Kardiomyopatisyndrom

Rapport 1 - 2017

Kardiomyopatisyndrom (CMS) hos laks Sykdomsutvikling - Agens - Epidemiologi

Kardiomyopatisyndrom (CMS) hos laks Sykdomsutvikling – Agens – Epidemiologi

Innhold

Forfattere - Test

Åse Helen Garseth, Julie Svendsen, Camilla Fritsvold og Aase B. Mikalsen

Redaktør

Åse Helen Garseth

New Test 20/10/2020 10:35

Åse Helen Garseth

Prosjektleder: 

Britt Bang Jensen, Veterinærinstituttet

ISSN 1890-3290©

Veterinærinstituttet 2017 

Introduksjon - First

I likhet med andre intensive husdyrproduksjoner representerte etableringen av storskala oppdrett av laks en endring i smittestoffenes mulighet for oppformering og spredning til nye individer. Dette har resultert i fremvekst av en rekke infeksjonssykdommer i næringen [1, 2]. Samtidig representerte hold av fisk i fangenskap en mulighet til å observere og beskrive infeksjonssykdommer hos fisk [3]. I fiskehelseperspektiv er 1980-tallet først og fremst forbundet med fremvekst av ulike bakteriesykdommer. Flere av disse ble utover 1990-tallet kontrollert gjennom bruk av vaksiner. De største sykdomsproblemene i dagens oppdrett er, foruten lakselus forårsaket av virus: pankreassjuke (PD), infeksiøs lakseanemi (ILA), hjerte- og skjelettmuskelbetennelse (HSMB), infeksiøs pankreasnekrose (IPN) og kardiomyopatisyndrom (CMS). Kardiomyopatisyndrom (CMS) er en alvorlig hjertelidelse som først ble omtalt fra oppdrett av laks på Nordmøre i 1985. Sykdommen skilte seg fra andre infeksjonssykdommer ved at det primært var stor, hurtigvoksende fisk som ble rammet (jamfør forsidefoto). Hos disse var blod i hjertesekken, og til tider også bukhulen, et hyppig funn. Dette skyldes at sykdommen svekket muskulaturen i hjertets forkammer og tilhørende blodkar slik at veggen revnet, - derav navnet «hjertesprekk» [4]. Den første vitenskapelige beskrivelsen av CMS hos norsk laks kom i 1988 [5], og i de påfølgende årene ble sykdommen også påvist på Færøyene (1992)[6, 7], i Skottland (1995) [8] og Irland (2012) [9]. En CMS-lignende hjertelidelse er også beskrevet fra hold av laks i Canada (2001) [10].

Figur 1: Test first chart title….

CMS forekommer i dag hos oppdrettslaks langs hele norskekysten, og er en av de viktigste og mest tapsbringende sykdommene i vår oppdrettsnæring. En samlet innsats fra næringen, fiskehelsetjenester og forskningsinstitusjoner har bidratt til kunnskap om sykdommen, herunder hvordan den opptrer, risikofaktorer og økonomiske betydning. I denne sammenheng er det også tidligere publisert kunnskapssammenstillinger [4, 11, 12]. Årsaken til CMS var imidlertid lenge ukjent og gjenstand for betydelig diskusjon. Både genetikk, ernæring, miljøfaktorer og anatomiske forhold er trukket frem som mulige faktorer[13]. Troen på et smittsomt agens har likevel holdt seg og da særlig mistanken om at sykdommen skyldtes et virus. Allerede i den første beskrivelsen av CMS ble det vist til funn av intranukleære inklusjonslegemer som tegn på virusinfeksjon [5]. Senere har både noda-lignende virus [14] og infeksiøs pankreas nekrose virus (IPNV) blitt assosiert med sykdommen [15], men uten at et direkte årsaksforhold ble funnet. I 2009 ble det vist at sykdommen kunne overføres med vev fra CMS-syk laks og dermed skyldtes et smittsomt agens [16, 17]. I 2010 og 2011 påviste to ulike forskergrupper et virus –piscint myokarditt virus (PMCV) i tilknytning til CMS [18, 19].

Figur 1: Test first chart title….

Karakteriseringen av viruset markerte et viktig tidsskille i kunnskapsutviklingen om CMS. Nye metoder og verktøy ble tilgjengelig og et betydelig antall studier ble igangsatt og gjennomført. Med dette som bakgrunn ble også det treårige FHF-finansierte forskningsprosjektet «Epidemiologisk studie av kardiomyopatisyndrom (CMS): Spredning, risikofaktorer og sykdomsforløp i norsk lakseoppdrett» lansert i 2015 (FHF prosjekt 901118). Dette forskningsprosjektet har som overordnet mål å øke kunnskapen om spredning av PMCV og faktorer som påvirker utviklingen av klinisk CMS. Kunnskapsformidling er et viktig delmål i prosjektet, og i den forbindelse er publisert og upublisert viten om CMS og PMCV gjennomgått og sammenstilt i denne rapporten. Rapporten er dermed en leveranse i Arbeidspakke 4 i prosjektet og gir en helhetlig fremstilling av kunnskapsstatus, med størst fokus på sykdomsutvikling, agens og epidemiologi. Rapporten vil bli oppdatert med ny kunnskap i sluttfasen av prosjektet.

Kardiomyopatisyndrom – sykdomstegn, patologiske funn og vertsrespons

1 Kardiomyopatisyndrom

2 Kardiomyopatisyndrom

3 Kardiomyopatisyndrom

Kardiomyopatisyndrom (CMS)  er en kronisk sykdom i hjertet hos atlantisk laks. CMS opptrer oftest hos fisk med god vekst og i normalt hold andre året i sjø. Dødeligheten utvikler seg langsomt, men med episoder av forhøyet dødelighet i forbindelse med stressende håndtering, ugunstige miljøforhold eller generelt sykdomsstress. Diagnosen CMS stilles på grunnlag av kliniske symptomer, funn ved obduksjon og histopatologisk undersøkelse. Obduksjonsfunnene er sirkulasjonsforstyrrelser og blødning til hjertesekken. Histopatologiske funn er betennelse og nekrose i hjertemuskelceller ogi hjertets indre, svampaktige muskellag (spongiøst myokard). Skadene opptrer først i forkammeret (atriet), før de brer seg videre til hjertekammeret (ventrikkelen).

Hjertets normale anatomi og funksjon

Exemplo 1

Figur 1: Normal anatomi for laksehjertet (gjennomskåret), skjematisk tegning og foto. 1a) Viser blodets retning gjennom de fire hjertekamrene sinus venosus, atrium (forkammer), ventrikkel (hjertekammer) og bulbus arteriosus (røde piler). 1b) Viser et villakshjerte (formalinfiksert). Foto og skjematisk tegning. T.T. Poppe.

Hjertets funksjon er å pumpe oksygenfattig blod gjennom gjellene. I gjellene tar blodet opp oksygen før det føres videre til kroppens muskulatur og indre organer. Det oksygenfattige, venøse blodet returnerer deretter til hjertets sinus venosus og forkammer før det pumpes videre fra hjertekammeret via bulbus arteriosus og inn i gjellene igjen (Figur 1). Bulbus arteriosus sin funksjon er å gi et jevnt trykk i blodstrømmen gjennom gjellene [20].

Sykdomstegn på fiskegruppe og individnivå

CMS-diagnosen settes på grunnlag av funnene man gjør i fisken ved klinisk undersøkelse, obduksjon og påfølgende histopatologisk undersøkelse. Det er uvanlig å finne svimere med CMS, og dødfisk med CMS er vanligvis i normalt eller godt hold. Fisk med CMS kan således dø brått uten kliniske symptomer, for eksempel i forbindelse med fôring, håndtering eller andre stressende omstendigheter. Alternativt kan de vise klare tegn til sirkulasjonsforstyrrelser noen dager før døden inntrer. I slike tilfeller er de typiske kliniske symptomene sløvhet, nedsatt appetitt, skjellommeødem, utstående øyne og utspilt buk med blødninger i huden (Figur 2a). Skjellommeødemet gir fisken et grålig, rufsete preg i merden [4, 6]. På gruppenivå gir CMS oftest lav til moderat forhøyet dødelighet over flere uker og måneder. Akutt høy dødelighet sees sjelden, men episoder med uvær, algeoppblomstring eller generelt sykdomsstress kan gi slik forbigående forhøyet dødelighet avløst av en periode med redusert dødelighet [4] (Figur 2b).

Figur 2: 2a) Laks med CMS og alvorlige sirkulasjonsforstyrrelser. Buken er utspilt på grunn av væske i bukhulen (ascites), det observeres også små, punktformede blødninger i huden (petecchier) og utstående øyne (exophthalmia). 2b) Ofte er det et misforhold mellom observert antall svimere (få fisk) og funn i dødfiskhoven (mange fisk). Foto: Per Anton Sæther, MarinHelse AS

Patologiske forandringer

Fisk med CMS kan ha både makroskopiske og mikroskopiske tegn på alvorlig sirkulasjonsforstyrrelse (Figur 3). Vanlige obduksjonsfunn i fisk med CMS er blødninger i hud (særlig under buken), skjellommeødem og utstående øyne (exopthalmia). Mørkfarget lever, væske i bukhulen (ascites) og fibrinøst belegg på leveroverflaten er også vanlig å finne. Hjertets atrium (forkammeret) og sinus venosus er som oftest forstørret og utspilt. Noen ganger er dette så ekstremt at forkammer har revnet, med blod eller blodkoagler i hjertesekken som resultat [21]. Dødfisk kan også være helt uten makroskopiske funn, men allikevel ha alvorlige histopatologiske CMS-forandringer i hjertet.

Figur 3: Laks med typiske CMS-relaterte obduksjonsfunn. Blodkoagel i hjertesekken (hjertetamponade), væske i bukhule, skjoldet lever med fibrinslør. Fisken er ellers feit og fin. Foto: Brit Tørud.

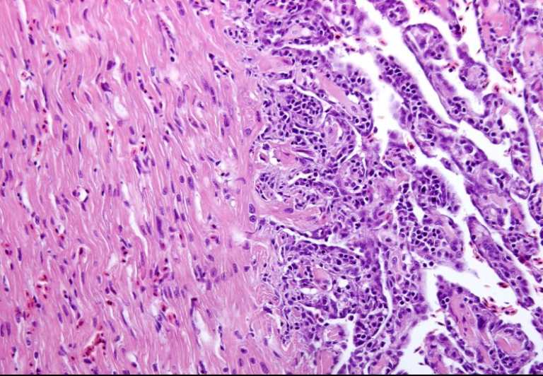
Histopatologisk karakteriseres CMS av betennelse og fortykket endokard (cellelaget som kler hjertets innside) og nekrose i muskelceller i spongiøst myokard (hjertets indre, svampaktige muskellag). Forandringene sees først i atriet (forkammeret), før de brer seg videre til ventrikkelen (hjertekammeret) [22] (Figur 4). Betennelsescellene er hovedsaklig mononukleære celler, sannsynligvis lymfocytter og makrofager, som først påvises subendokardialt (rett under endokardlaget på hjertes indre muskeloverflater) før også muskellaget innenfor infiltreres. I alvorlige tilfeller av CMS kan det utvikles en cellerik epikarditt (betennelse) på hjertets ytterflate. Hjerteventrikkelens kompakte muskellag (kompaktum) er som regel uten betennelsesforandringer, men betennelsesceller fra en epikarditt kan bre seg innover i kompaktumlaget langs større blodkar i tilfeller med uttalte CMS-forandringer [23]. Kraftige betennelsesforandringene er årsaken til at forkammerveggen og/eller veggen i sinus venosus blir svekket og kan briste, med blod i hjertesekken (hjertetamponade) og brå død som resultat. Forkammerforandringene er som regel mer uttalte enn forandringene i hjertekammeret, og hjertesvikten med påfølgende alvorlig stuvning kan gi CMS-relaterte forandringer også i andre indre organer som lever og milt.

 

Figur 4: Typiske histopatologiske funn ved CMS: Figur 4a) viser den tydelige forskjellen mellom normalt vev i hjerteventrikkelens kompakte muskellag (mot venstre i bildet) og uttalte CMS-forandringer med rikelig infiltrasjon av betennelsesceller i det indre, spongiøse muskellaget (mot høyre i bildet). Figur 4b) Høy forstørrelse av langt framskredne, klassiske CMS-forandringer i spongiøs hjertemuskel. Noen steder kun betennelsesceller innenfor endotelcellelaget som kler muskeloverflaten, og andre steder kun rester av hjertemuskulaturen (lys rosa) igjen, iblandet betennelsesceller. Foto. T.T. Poppe.

Differensialdiagnoser

Hjerteforandringene ved CMS kan likne de man finner ved de to viktige differensialdiagnosene pankreassjuke (pancreas disease – PD) og hjerte- og skjelettmuskelbetennelse (HSMB), men typiske tilfeller av disse tre sykdommene lar seg lett skille histopatologisk [24-26]. Både PD og HSMB fører til hjerteforandringer med alvorlig betennelse og til dels nekroser i hjertemuskulatur, i tillegg til de sykdomstypiske forandringene i eksokrin pankreas (PD) og skjelettmuskulatur (både PD og HSMB). Utypiske tilfeller eller samtidig forekomst av to eller alle tre av disse sykdommene i ett og samme individ er ikke uvanlig, og kan gjøre den histopatologiske diagnostiseringen vanskeligere [27]. Vertsrespons Det er ikke kjent hvor lang tid det tar før fisk i sjø som utsettes for smitte utvikler CMS-forandringer. Gjentatte prøveuttak viser imidlertid at PMCV kan være tilstede i et anlegg i lang tid uten at klinisk CMS påvises i fiskegruppa [28]. I smitteforsøk finner man tidlige histopatologiske forandringer omtrent 6 uker etter smitte, avhengig av smittemodell [16, 17]. Tidligere erfaring fra felt og forsøk antyder at CMS hovedsakelig er en kronisk sykdom som utvikler seg gradvis over flere måneder, kanskje år, før fisken viser kliniske forandringer og/eller dør [12, 16, 19, 23, 29], men i de siste årene har det vært et økende antall tilfeller der sjøsatt fisk så små som 100-300g også har CMS-forandringer og dør av CMS (pers. Obs. C. Fritsvold). Laksens hjerte- og sirkulasjonssystem ser ut til å ha en betydelig reservekapasitet, slik at kliniske symptomer kun utvikles i endestadiene av sykdommen. Ut ifra de histopatologiske endringene i hjerte, kan man utlede det patofysiologisk forløpet til sykdommen [4]. Forandringene i for- og hjertekammer reduserer hjertets pumpeevne. Etter hvert vil blod hope seg opp på venøs side. Denne blodstuvningen er trolig årsaken til væskeopphopning i bukhule (ascites) og i skjellommer, og til blødningene på buken. Som beskrevet tidligere, kan svekkelsen og trykket i enkelte tilfeller medføre at forkammeret, som har den tynneste veggen, brister [4].

I smitteforsøk påvises de histopatologiske endringene fra 6 uker etter smitte, og når en topp 9-10 uker etter smitte [19, 29]. Virus oppformeres i flere organer og kan påvises fra fire uker etter smitte. Det er god korrelasjon mellom virusmengde og vevskader i hjerte, et tegn på at celledød som oppstår i forbindelse med virusoppformering har betydning for utvikling av vevsskade i hjertet [19, 29]. Det er også god overensstemmelse mellom høyeste nivå av virusbelastning og hjertepatologi, og induksjon av immunforsvar i form av hjertespesifikk T-cellerespons og aktivering av komplementsystemet i milt. Dette skjer forut for en reduksjon i virusbelastning og patologiutviklingen, hvilket tyder på at responsen er viktig for rekonvalesensen [29]. I smitteforsøk kan infeksjonen forløpe ulikt hos enkeltindivider. En studie har vist at såkalte High responderes (HR) har en høyere virusbelastning og mer alvorlig patologi seks uker etter infeksjon enn såkalte Low responders (LR). Low responders ser ut til å kunne tolerere samme infeksjonsnivå (her målt i mengde virus transkripter) uten å utvikle hjertepatologi, muligens forårsaket av en tidligere aktivering av immunforsvaret og/eller dempet utvikling av T-lymfocyttære og inflammatoriske responser, slik at de raskere reduserer virusbelastningen og patologi. Hos HR er responsen senere og i form av et sterkt og vedvarende uttrykk av gener som er involvert i cellulær immunrespons [30, 31].

Piscint myokarditt virus - PMCV

CMS ble i 2010 vist å være forårsaket av et virus, piscint myokarditt virus (PMCV). Viruset er relativt lite og enkelt oppbygget med et kappeprotein som omslutter et RNA arvestoff. Virusets hovedinfeksjonsmål er laksens hjertemuskelceller. Det er mulig å detektere både virusets arvestoff og dets kappeprotein i infisert vev og celler. Viruset finnes hovedsakelig i CMS-syk laks i oppdrett. De genetiske forskjellene mellom virusisolater er små.

Takksigelser

Det rettes en stor takk til alle som har bidratt til utarbeidelsen av rapporten. Takk til referansegruppa ved Torkjel Bruheim (Aquagen), Øyvind Haugland (Pharmaq) og Aase B. Mikalsen (NMBU). Takk til styringsgruppa ved Siri Vike og Stian Nylund (Pharmaq), Harald Takle (Marine Harvest), Arne Guttvik (Salmar), Julia Fossberg (Lerøy Seafood) og Henrik Duesund (Cermaq). Takk til Øystein Evensen (NMBU) og Sven Martin Jørgensen (Nofima) for grundig gjennomlesing og innspill. En spesiell takk rettes til Per Anton Sæter (MarinHelse), Trygve T. Poppe (Pharmaq), Håvard Lo, Torunn Taksdal, Brit Tørud og Mona Dverdal Janssen (Veterinærinstituttet) som har bidratt med foto og illustrasjoner.

Informasjon om CMS-Epi prosjektet

I 2015 opprettet FHF prosjektet «Epidemiologisk studie av kardiomyopatisyndrom (CMS): Spredning, risikofaktorer og sykdomsforløp i norsk lakseoppdrett» (FHF prosjekt 901118). Prosjektets overordnede mål er å øke kunnskapen om spredning av PMCV og faktorer som påvirker utviklingen av klinisk CMS. Prosjektet løper fra september 2015 og ut desember 2018.

Prosjektet har følgende delmål:

  • Finne ut om PMCV overføres vertikalt fra stamfisk til matfisk under vanlige produksjonsforhold
  • Kartlegge forløpet av PMCV infeksjon i sjø
  • Identifisere risikofaktorer for infeksjon med PMCV
  • Identifisere risikofaktorer for utvikling av klinisk CMS
  • Finne ut hvorfor noen lokaliteter oftere får CMS enn andre
  • Å gi en samlet fremstilling av publisert og upublisert viten om CMS og PMCV, med fokus på epidemiologi og sykdomsutvikling.
  • Gi en samlet vurdering av tilgjengelige muligheter for å begrense spredning av PMCV og kliniske utbrudd av CMS – Både for enkelte anlegg og for næringen som helhet

Prosjektleder ved Veterinærinstituttet:

Britt Bang Jensen

Samarbeidspartnere:

Marine Harvest ASA

SalMar ASA

Cermaq Group AS

Pharmaq Analytiq AS

Lerøy Seafood Group ASA

Les mer: http://www.fhf.no/prosjektdetaljer/?projectNumber=901118 

Samarbeidende prosjekt

Prosjektet «Kardiomyopatisyndrom (CMS) - påvisning av egenskaper hos piscint myokardittvirus som forklarer opptreden av klinisk sykdom i ulike faser av lakseproduksjonen (FHF prosjekt 901179) vil ved samordning og nært samarbeid CMS-Epi-prosjektet gi bedre kunnskap om virulensfaktorer i arvestoffet som bestemmer utvikling av skade på hjertemuskulaturen og klinisk sykdom. Et spesielt fokus blir lagt på ORF3-proteinets rolle for virusets virulens.

Chart 1: This is a chart

Figur 2: Test

Test 2 test 2///

Referanser

  1. Rimstad E: Examples of emerging virus diseases in salmonid aquaculture. Aquaculture Research 2011, 42:86- 89.
  2. Murray AG, Peeler EJ: A framework for understanding the potential for emerging diseases in aquaculture. Preventive Veterinary Medicine 2005, 67(2-3):223-235.
  3. Bergh O: The dual myths of the healthy wild fish and the unhealthy farmed fish. Diseases of aquatic organisms 2007, 75(2):159-164.
  4. Skrudland A, Poppe TT, Jarp J, Brun E: Hjertesprekk hos norsk oppdrettslaks. En feltundersøkelse. In.: Veterinærinstituttet (Norwegian); 2002.
  5. Amin A, Trasti J: Endomyocarditis in Atlantic salmon in Norwegian seafarms. Bull Eur Assoc Fish Pathol 1988, 8.
  6. Poppe TT, Sande RD: Cardiomyopathy in farmed Atlantic salmon: a review, introducing an ultrasound technique for clinical examination. Oslo: Norwegian School of Veterinary Science; 1994.
  7. Poppe TT, Seierstad SL: First description of cardiomyopathy syndrome (CMS)-related lesions in wild Atlantic salmon Salmo salar in Norway. Dis Aquat Organ 2003, 56(1):87-88.
  8. Rodger H, Turnbull T: Cardiomyopathy syndrome in farmed Scottish salmon. Vet Rec 2000, 146.
  9. Rodger HD, McCleary SJ, Ruane NM: Clinical cardiomyopathy syndrome in Atlantic salmon, Salmo salar L. J Fish Dis 2014, 37(10):935-939.
  10. Brocklebank J, Raverty S: Sudden mortality caused by cardiac deformities following seining of preharvest farmed Atlantic salmon (Salmo salar) and by cardiomyopathy of postintraperitoneally vaccinated Atlantic salmon parr in British Columbia. Can Vet J 2002, 43(2):129-130.
  11.  Kongtorp R, Taksdal T, Lillehaug A: Cardiomyopathy syndrome (CMS): a literature review. . In. Oslo, Norway: Norwegian Veterinary Institute; 2005.
  12. Kongtorp R, Brun E, Taksdal T, Lillehaug A: Kardiomyopatisyndrom (CMS) i Norge. In., vol. Vol 2. Oslo, Norway: Norwegian Veterinary Institute; 2006.
  13. Poppe TT: Kardiomyopati (endomyokarditt, cardiac myopathy syndrome (CMS)). In: Fiskehelse - sykdommer, behandling, forebygging. Edited by Poppe TT, 1 edn. Bergen, Norway: John Grieg Forlag AS; 1990: 307-308.
  14. Grotmol S, Totland GK, Kryvi H: Detection of a nodavirus-like agent in heart tissue from reared Atlantic salmon Salmo salar suffering from cardiac myopathy syndrome (CMS). Diseases of Aquatic Organisms 1997, 29:79-84
  15. Brun E, Poppe T, Skrudland A, Jarp J: Cardiomyopathy syndrome in farmed Atlantic salmon Salmo salar: occurrence and direct financial losses for Norwegian aquaculture. Dis Aquat Organ 2003, 56(3):241-247.
  16. Fritsvold C, Kongtorp RT, Taksdal T, Orpetveit I, Heum M, Poppe TT: Experimental transmission of cardiomyopathy syndrome (CMS) in Atlantic salmon Salmo salar. Dis Aquat Organ 2009, 87(3):225-234.
  17. Bruno DW, Noguera PA: Comparative experimental transmission of cardiomyopathy syndrome (CMS) in Atlantic salmon Salmo salar. Dis Aquat Organ 2009, 87(3):235-242.
  18. Lovoll M, Wiik-Nielsen J, Grove S, Wiik-Nielsen CR, Kristoffersen AB, Faller R, Poppe T, Jung J, Pedamallu CS, Nederbragt AJ et al: A novel totivirus and piscine reovirus (PRV) in Atlantic salmon (Salmo salar) with cardiomyopathy syndrome (CMS). Virology Journal 2010, 7.
  19. Haugland O, Mikalsen AB, Nilsen P, Lindmo K, Thu BJ, Eliassen TM, Roos N, Rode M, Evensen O:
  20. Cardiomyopathy syndrome of atlantic salmon (Salmo salar L.) is caused by a double-stranded RNA virus of the Totiviridae family. J Virol 2011, 85(11):5275-5286.
  21. Tørud B, Hillestad M, Poppe T, Johansen R, Sverdrup A, Helle KB, Kongtorp RT, Kroghdal Å, Storset A,
  22. Bæverfjord G et al: Hjerterapporten 2004 - rapport om hjertelidelser hos laks og regnbueørret. In. Edited by Tørud B, Hillestad M; 2005.
  23. Bruno DW, Poppe T: Diseases of uncertain aetiology. Cardiomyopathy syndrome. In: A color atlas of salmonid diseases. Edited by Bruno DW, Poppe T. London, UK: Academic Press; 1996: pp. 140-141.
  24. Bruno DW, Noguera PA, Poppe T: A color Atlas of Salmonid Diseases, Second edition edn: Springer; 2013.
  25. Ferguson HW, Poppe T, Speare DJ: Cardiomyopathy in Farmed Norwegian Salmon. Diseases of Aquatic Organisms 1990, 8(3):225-231.
  26. Kongtorp RT, Taksdal T, Lyngoy A: Pathology of heart and skeletal muscle inflammation (HSMI) in farmed Atlantic salmon Salmo salar. Diseases of aquatic organisms 2004, 59(3):217-224.
  27. McLoughlin MF, Graham DA: Alphavirus infections in salmonids - a review. Journal of Fish Diseases 2007, 30(9):511-531.
  28. Kongtorp R, Halse M, Taksdal T, Falk K: Longitudinal study of a natural outbreak of heart and skeletal muscle inflammation in Atlantic salmon, Salmo salar L. J Fish Dis 2006, 29.
  29. Wiik-Nielsen J, Alarcon M, Jensen BB, Haugland O, Mikalsen AB: Viral co-infections in farmed Atlantic salmon, Salmo salar L., displaying myocarditis. J Fish Dis 2016.
  30. Wiik-Nielsen CR, Ski PMR, Aunsmo A, Lovoll M: Prevalence of viral RNA from piscine reovirus and piscine myocarditis virus in Atlantic salmon, Salmo salar L., broodfish and progeny. Journal of Fish Diseases 2012, 35(2):169-171.
  31. Timmerhaus G, Krasnov A, Nilsen P, Alarcon M, Afanasyev S, Rode M, Takle H, Jorgensen SM: Transcriptome profiling of immune responses to cardiomyopathy syndrome (CMS) in Atlantic salmon. BMC genomics 2011, 12:459.
  32. Timmerhaus G: Cardiomyopathy syndrome (CMS) in Atlantic salmon, Salmo salar L.: functional genomic studies of host-pathogen responses ansd disease markers. Ås Norway: Norwegian University of Life Science; 2012.