Kardiomyopatisyndrom (CMS)

Kardiomyopatisyndrom (CMS), også kalla hjartesprekk, er ein alvorleg hjartesjukdom som råkar oppdrettslaks i sjøen. 

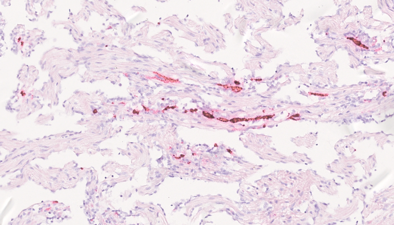
FHR 2023 Figur 6.5.2 CMS ISH PMCV_Camilla Fritsvold.png
Påvisning av PMCV (ORF-1) med RNAscope in situ hybridisering i histologisk vevssnitt av forkammer fra laks med CMS (smitteforsøk). PMCV spesifikt RNA i områder med betennelse merkes med mørk rødlig farge. Standard lysmikroskop, 200x forstørrelse. Foto: Camilla Fritsvold, Veterinærinstituttet

Sjukdomen vart først omtala i 1985, og er no spreidd i alle dei norske produksjonssonene, og fører til store utfordringar knyta til både helse og velferd. 

CMS er ein av dei største tapsfaktorane for norsk oppdrettsnæring, med eit stort tal årlege påvisingar. Dei økonomiske tapa kan bli store fordi det oftast er stor og slaktemoden fisk som blir råka. I de seinaste åra har også nyutsett smolt blitt ramma, og nyare forsking tydar på at piscint myokardittvirus (PMCV), som gir CMS, er særs utbredt. 

Talet på daude fisk i samanheng med eit CMS-utbrot i eit anlegg kan vera litt eller moderat auka over ein lang tidsperiode, eller gje seg utslag i akutt høg dødelegheit, ofte utløyst av stress. 

Smittestoff og smittevegar

I 2007 blei det vist at CMS kunne overførast ved å injisera hjarte- og nyrevevshomogenat frå sjuk fisk i bukhola til frisk fisk, og mistanken om at sjukdomen kunne skuldast eit virus blei styrka. To år seinare blei det vist at ikkje-injisert fisk som var i same karet som injisert fisk også utvikla CMS (kohabitatsmitte), og risikoen for å bli smitta via vatn blei bekrefta. Forskarar ved Noregs veterinærhøgskole og Veterinærinstituttet skildra i 2010 eit heilt nytt virus, piscint myokardittvirus som årsak til CMS. 

Viruset tilhøyrer gruppa totivirus. PMCV er eit nake, dobbelttråda RNA-virus med eit relativt lite, usegmentert genom som berre ser ut til å koda for 3-4 protein. 

Alle dei norske PMCV-isolata frå laks som er undersøkte er særs like og ser ut til å tilhøyra ei enkel genogruppe. 

Det einaste kjende smittereservoaret er oppdrettslaksen sjølv og undersøkingar av villaks, marin villfisk og miljøprøver gir ikkje grunnlag for å tru at desse er skjult reservoar av betyding for PMCV. 

Viruset har gjennom to studier blitt påvist hos om lag 0,25% av gyteklar villaks, og CMS-liknande lesjonar har tidlegare blitt registrert hos villaks. PMCV har også blitt påvist (Ct-verdi på 15) hos ein rømd oppdrettslaks i Numedalslågen. I ei stor undersøking av 32 villfanga marine fiskeartar blei PMCV påvist i vassild (Argentina silus) ved bruk av PCR. Sidan vassild-varianten er ulik den typen som er påvist i laks, er det lite truleg med overføring av smitte mellom desse artane. Andre laksefisk som regnbogeaure ser ikkje ut til å være mottakelege for viruset. 

Enkelte lokalitetar blir oftare råka av CMS enn andre, og det er derfor mogleg at det er ukjende reservoar eller faktorar som påverkar smittespreiinga. 

CMS-sjukdom er ikkje funne hos settefisk, og sjølv om det er påvist PMCV-RNA i låge mengder hos settefisk i ferskvassfasa, er det ikkje funne bevis for vertikal overføring av viruset. Det kan gå lang tid frå dei første PMCV-positive individa vert påvist i ei fiskegruppe til det ein finn CMS og eventuelt dødelegheit. I nokre tilfelle vert PMCV påvist relativt tidleg i sjøfasa, utan at fiskegruppene alltid får sjukdomsutbrot med CMS i løpet av tida i sjø. 

Korleis sjukdomen blir introdusert og overført mellom fisk i felt er ikkje avklara. I eit forskingsprosjekt som blei avslutta i 2019 blei det gjennom eit feltstudie funne PMCV i alle 12 oppdrettsanlegg som blei undersøkt (frå Agder til Finnmark), i samtlege merder som blei følgt i studiet (2 per lokalitet), noko som kan indikere mulig effektiv smitte mellom merder. 

Som andre nakne virus, til dømes IPNV og nodavirus, er truleg PMCV meir motstandsdyktig mot ytre påverknadar som temperatur, låg pH, desinfeksjonsmidlar og uttørking, enn kappekledde virus. Fordi PMCV ikkje let seg dyrka, manglar vi spesifikk kunnskap om dette. 

Framleis trengst meir forsking på PMCV og CMS knyta til smitteutskiljing, smitteoverføring og overleving av virus, korleis sjukdommen utviklar seg og kva andre faktorar som er viktige for at eit utbrot kan oppstå. 

Sjukdomsteikn

Det ser ut til å vera ei klar samanheng mellom mengde virus og sjukdomsgrad. Med spesifikk virusfarging (in situ-hybridisering og immunhistokjemi) finn ein virus i dei typiske patologiske hjarte-endringane. Som regel vert virus først påvist i samband med utbrot av CMS eller i laks med CMS-endringar i hjartet. Dersom ein testar for PMCV med PCR i oppdrettsanlegg, kan virus i nokre tilfelle påvisast i laks ganske kort tid etter sjøsetting, og viruset kan tidvis vere tilstade over lengre tid før eventuelt sjukdomsutbrot. 

Tapa i CMS-lokalitetar kan variera, men talet på fisk som døyr dagleg er som regel låg. Men dødelegheita kan vara i lang tid, og dei totale tapa kan difor vera vesentlege, særleg der det er stor fisk som døyr. I seinare år har det blitt rapportert ein del tilfelle der sjukdommen opptrer tidleg, og at fisk så små som 100-300g blir sjuke og døyr av CMS. CMS-sjukdom er ikkje registrert hos settefisk.  

Inkubasjonstida for fisk i felt er ukjent, men i smitteforsøk tek det rundt seks veker frå fisken blir smitta til ein kan sjå dei første patologiske endringane histologisk. Dei patologiske endringane indikerer at CMS er ein kronisk sjukdom som utviklar seg langsamt. Fisken kan døy brått, utan å visa kliniske teikn på sjukdom. 

Det er til vanleg få svimarar i anlegg med CMS. Fisk med sjukdom kan visa teikn på store sirkulasjonsproblem både makro- og mikroskopisk. Enkelte daudfisk med tydelege histopatologiske hjarteendringar kan vera heilt utan makroskopiske endringar, men eksoftalmus (utståande auge), skjellommeødem og små punktblødingar på buken er mellom dei typiske makroskopiske endringane som kan observerast. Ved obduksjon kan ein finne teikn på sirkulasjonssvikt som ascites, mørk lever, fibrinlag på levra og/eller væske i bukhola. Hjartetamponade (samling av væske i hjarteposen) vil hemme pumperørslene til hjartet, og i framskridne tilfelle kan endringane i hjartet bli så omfattande at forkammerveggen sprekk og leier til hjartestans, noko som har gjeve sjukdomen namnet hjartesprekk. 

Diagnostikk

CMS er foreløpig ei rein histopatologisk diagnose, og er  basert på funn av typisk klinikk og histopatologiske hjarteendringar. Diagnosa vert stilt ved funn av karakteristiske betennelsesendringar først og fremst i den indre, spongiøse delen av for– og hjartekammer. Den kompakte hjertekammerveggen er som regel tilnærma normal, men noko betennelsesreaksjon kan sjåast også i denne delen av hjarta i uttalte tilfelle, då særleg i tilknytning til forgreiningar av koronararteriene. I uttalte tilfelle av CMS kan ein også finne ulike grader av cellerik epikarditt. Ein kan vidare sjå histopatologiske endringar i lever og milt, truleg på grunn av sirkulasjonssvikt utløyst av hjarteendringane. Real-time RT-PCR for påvising av PMCV vert i mange høve nytta for overvaking av fiskegrupper utan kliniske funn. PCR for PMCV er eit nyttig reiskap for å skilje CMS frå differensialdiagnosar i vanskelege tilfelle, ved blandingsinfeksjonar eller tidlege stadie av sjukdomen. Nyare in situ-hybridiseringsteknikkar ser og lovande ut med tanke på å skilje dei ulike hjartebetennelsane ved histologiske undersøkingar, men er ikkje ein del av rutinediagnostikken enno. 

Differensialdiagnosar 

Dei viktigaste differensialdiagnosane til sjukdommen er pankreassjukdom (PD), infeksiøs lakseanemi (ILA) og hjarte- og skjelettmuskelbetennelse (HSMB), men CMS gjev ikkje endringar i eksokrin pankreas eller skjelettmuskulatur. 

Førekomst

Sjukdommen blei første gong beskriven i norsk oppdrettslaks på midten av 80-talet. Tradisjonelt er hovudtyngda av sjukdomspåvisingane frå Møre og Romsdal og Trøndelag, men CMS er påvist i oppdrettsanlegg frå stort sett heile Norskekysten. 

Funn i feltstudiet nemnt i avsnittet over indikerer at PMCV er vanleg førekomande hos norsk oppdrettslaks langs heile kystlinja. 

Tilsvarande sjukdomsbilete er også sett i Skottland, Canada og på Færøyane, og det har i dei siste åra blitt rapportert eit aukande tal tilfelle av CMS i Irland og Skottland, der sjukdommen no er mellom dei største utfordringane både økonomisk og for velferda i akvakulturnæringa. 

Risikofaktorar for utbrot av CMS

CMS har ikkje ein tydeleg sesongvariasjon. Risikoen for utbrot av CMS aukar med tida fisken står i sjø. Fiskegrupper som alt har hatt PD eller HSMB er meir utsett for å få CMS enn dei som ikkje har hatt desse sjukdommane. Vårutsett har lågare risiko for å utvikle CMS enn fisk satt ut på hausten, men det er også variasjon mellom ulike grupper av vårutsett fisk: I nokre område har fisken satt ut seint på våren lågast risiko, mens det i andre område er dei som settast ut tidleg på våren som har lågast risiko. 

Det er fleire ting som peiker på at det kan være ein samanheng mellom utbrot av CMS og forhold i settefiskfasen. Frå felt er det rapportert om store skilnader i kva for fiskegrupper som blir sjuke under et CMS-utbrot på ein og same lokalitet, og at det ofte er fisk frå dei same settefiskleverandørane som får sjukdommen år etter år. Hjarteendringane gjer fisken sårbar, slik at den tåler andre stresstilstandar eller fysiske påkjenningar dårleg. Kor mykje fisk som døyr under eit CMS-utbrot kan difor auke om fisken blir utsett for stress, til dømes ved sortering, flytting, avlusing og medisinering. Andre faktorar som rask vekst, miljøfaktorar, ernæring og mangel på fysisk aktivitet har også blitt utpeikt som mogelege risikofaktorar. Når oppdrettsanlegg får ei CMS-diagnose, bør all handtering som kan stressa fisken reduserast til eit minimum inntil fisken kan slaktast, slik at færrast mogeleg fisk døyr. 

Tiltak

CMS er ikkje ein meldepliktig sjukdom, korkje i Noreg eller i Verdens dyrehelseorganisasjon (WOAH), og det er difor ingen offentleg bekjempingsplan for CMS. 

Det er ingen vaksine mot CMS tilgjengeleg, men det pågår vaksineutvikling. Avlsselskapa har utvikla og sel egg frå QTL-selekterte stammar med auka resistens mot sjukdomsutvikling. Det er og tilgjengeleg spesialfôr, «functional feed», til bruk ved CMS, der målet er å redusere hjarteskadene og dødelegheit ved utbrot. 


Les siste nytt fra Veterinærinstituttet

 
Alle nyheter