Laksepox

Laksepox er en gjellesykdom som er funnet hos norsk oppdrettslaks siden 1995. Et koppevirus (Salmon gill poxvirus) er satt i sammenheng med sykdommen. Dette ble karakterisert ved Veterinærinstituttet i 2015.

Sykdommen kan opptre ulikt og det som er lettest å kjenne igjen er et dramatisk forløp med store tap i settefiskfasen. Det er vist at laks i alle faser av produksjonen, fra yngel til slaktefisk kan bli rammet av laksepox.

Laksepox - foto Mona Gjessing_2000px.jpg
Typiske sykdomsforandringer i gjeller fra laks med laksepox. Foto: Mona Gjessing

Smittestoff og smitteveier

Årsaken til sykdommen (Salmon gill poxvirus disease – SGPDV) er Salmon gill poxvirus (SGPV) som er et stort DNA-virus. Dette er utviklingsmessig det eldste kjente koppevirus fra virveldyr. Viruset infiserer gjellene hos atlantisk laks både i oppdrett og hos villlaks. En annen type poxvirus er påvist på gjeller hos karpefisk.

Så langt vi vet er det bare Atlantisk laks som blir smittet av laksepoxvirus. Veterinærinstituttet har etablert et verktøy som brukes for å si noe om slektskap mellom poxvirus fra ulike lokaliteter. Denne metoden er nyttig i forbindelse med sporingsarbeid, og Veterinærinstituttet oppfordrer fiskehelsetjenester og andre som har mistanke om laksepox om å sende inn materiale slik at disse kan sjekkes med denne metoden. Resultatene fra smitteforsøk tyder på at vertikal overføring av laksepoxvirus ikke er en viktig smittevei, mens viruset smitter særlig effektivt horisontalt.

Sykdomstegn

«Laksepox» kan ha et akutt sykdomsforløp med store tap hos laks i settefiskfasen. Respirasjonsvansker er et typisk tegn. Sykdommen rammer ofte de fleste fiskene i et kar, og sykdommen kan spre seg fra kar til kar i anlegget.

Viruset angriper gjellene, og skadene som oppstår kan kompliseres med sekundære infeksjoner. I tilfeller der andre agens ikke gir sekundære infeksjoner, er det få obduksjonsfunn. Av og til finner en litt bleke gjeller og litt svullen milt. Tarmene er ofte tomme for innhold, noe som tyder på appetittsvikt.

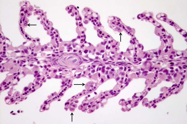
Bildet over viser gjelle fra laks som er infisert med laksepoxvirus. Pilene viser epitelceller som er i ferd med å falle av fordi de er apoptotiske (en spesiell form for celledød). Forandringene er svært karakteristiske for laksepox.

Poxvirus-infeksjon hos menneske (koppevirus) skyldes et annet virus enn laksepoxvirus. Laksepoxviruset mangler komponenter som er nødvendig for å gi sykdom hos mennesker.

Diagnostikk

Infeksjon med laksepoxvirus påvises først og fremst med real-time PCR.

Sykdomsdiagnosen kan bekreftes ved obduksjon og histologisk undersøkelse. Funn av apoptotiske epitelceller i gjellene er svært karakteristisk for sykdommen. I enkelte tilfeller kan en se tegn på massiv nedbrytning av blod. Veterinærinstituttet har også etablert en immunhistokjemisk metode som farger viruspartikler i epitelceller i gjellene.

Ved mistanke om gjelleproblem bør en sende inn materiale for histologi og PCR.

 

Forekomst

De spesifikke forandringene en kan se ved laksepox har vært kjent siden 1995.

Sykdommen finnes både i fersk- og sjøvann og i alle deler av Norge. Plommesekkyngel kan smittes (påvist eksperimentelt)

Sykdommen er også rapportert på Færøyane, Skottland og Island.

Tiltak

Siden laksepoxviruset nylig er beskrevet, har en ikke kunnskap nok om hvordan en kan hindre smittespredning.

Oppdrettere som er kjent med tilstanden stopper fôringen, hever oksygenet og unngår å stresse fisken, for å redusere risikoen for massedød når de får mistanke om laksepox.