«Red skin disease» hos vill laks: en ny tilstand

«Red skin disease» er betegnelsen på sykdomsbildet som ble observert i forbindelse med dødelighet hos villaks i bl. a. Enningdalselva sommeren 2019.

Sommeren 2019 ble det registrert sykdom og dødelighet hos villaks i Enningdalselva i Østfold. Laksen var typisk i godt hold, men med hudblødninger i karakteristiske røde ringer på buk. Laksen hadde nedsatt bevissthet, den svimet - og lot seg relativt lett fange. Ut over sommeren ble laks fra flere norske elver undersøkt, og i tillegg kom det inn tilsvarende rapporter fra andre Nord-europeiske land. For å lette kommunikasjonen i samarbeidet mellom landene blir «red skin disease» brukt som betegnelse på sykdomsbildet.

Listeføring

«Red skin disease» har så langt ukjent årsak og er ikke listeført.

Bildeserie laks fra Enningdalselva (Foto 1-3)

Bildeserie laks fra sandvikselva (Foto 4-5)

Smittestoff og smitteveier

Det er så langt ikke påvist noe enkelt smittestoff som kan forklare sykdomsforandringene, eller som antas å være primær årsak til «red skin disease».

Sykdomstegn og diagnostikk

Sykdomstegnene vi her beskriver som typiske, er basert på et svært begrenset antall «nygått laks» fra Enningdalselva. Når laksen nylig har gått opp fra sjø til ferskvann er den blank og kan fortsatt ha lakselus på huden. I Sandvikselva i Bærum ble det funnet et par fisk med svært like hudforandringer og noe sopp. Uten å kjenne bakenforliggende årsaker kan vi foreløpig ikke konkludere med at vi bare har med en og samme, nye sykdom å gjøre.  

Fiskene i elva hadde nedsatt bevissthet og svimte i overflata. Det ble observert «snapping» etter luft. Enkelte fisk bet fortsatt på fiskeredskap, mens andre var apatiske og lett kunne fanges med hov eller annen redskap. Etter hvert ble det observert dødelighet, men fisk ble også avlivet. Laksen hadde ringformede hudblødninger særlig på buken. Det ble også funnet en død laks med sel-bitt som hadde perforert til bukhule, og en kilenotfisker i Iddefjorden rapporterte at sel hadde gått løs på en del av fangsten.

I elva vil soppsporer få tilgang til hudskadene og raskt komplisere bildet, som på fisken fra Sandvikselva. Over tid kan sopp bli det dominerende funnet, og bidra sterkt til dødeligheten. Observasjoner av hvordan tilstanden arter seg over tid er viktig for å prøve å forstå hva som leder til problemene da de kan være av sammensatt natur. Dersom en kunne observere og undersøke fisk i forskjellige utviklingsstadier av sykdommen, ville det øke sannsynligheten for å finne årsakene til problemene.

All undersøkt laks fra Enningdalselva var villaks (basert på skjellavlesning ved Veterinærinstituttet og gentester (NINA). Det var både første gangs- og flergangsgytere.

Diagnostikk

Diagnostiske kriterier er et sett med forandringer og test-funn som definerer en sykdomstilstand, i dette tilfelle «Red Skin Disease». Foreløpig er de begrenset til de røde ringformede hud-forandringene på buken av nygått laks. For å komme videre kreves et mer omfattende materiale enn det vi har fra 2019.

For ikke å overse noe må undersøkelsene omfatte et bredt spekter av metoder som kan avdekke mulige smittsomme årsaker, inklusiv tidligere ukjent smittestoff.

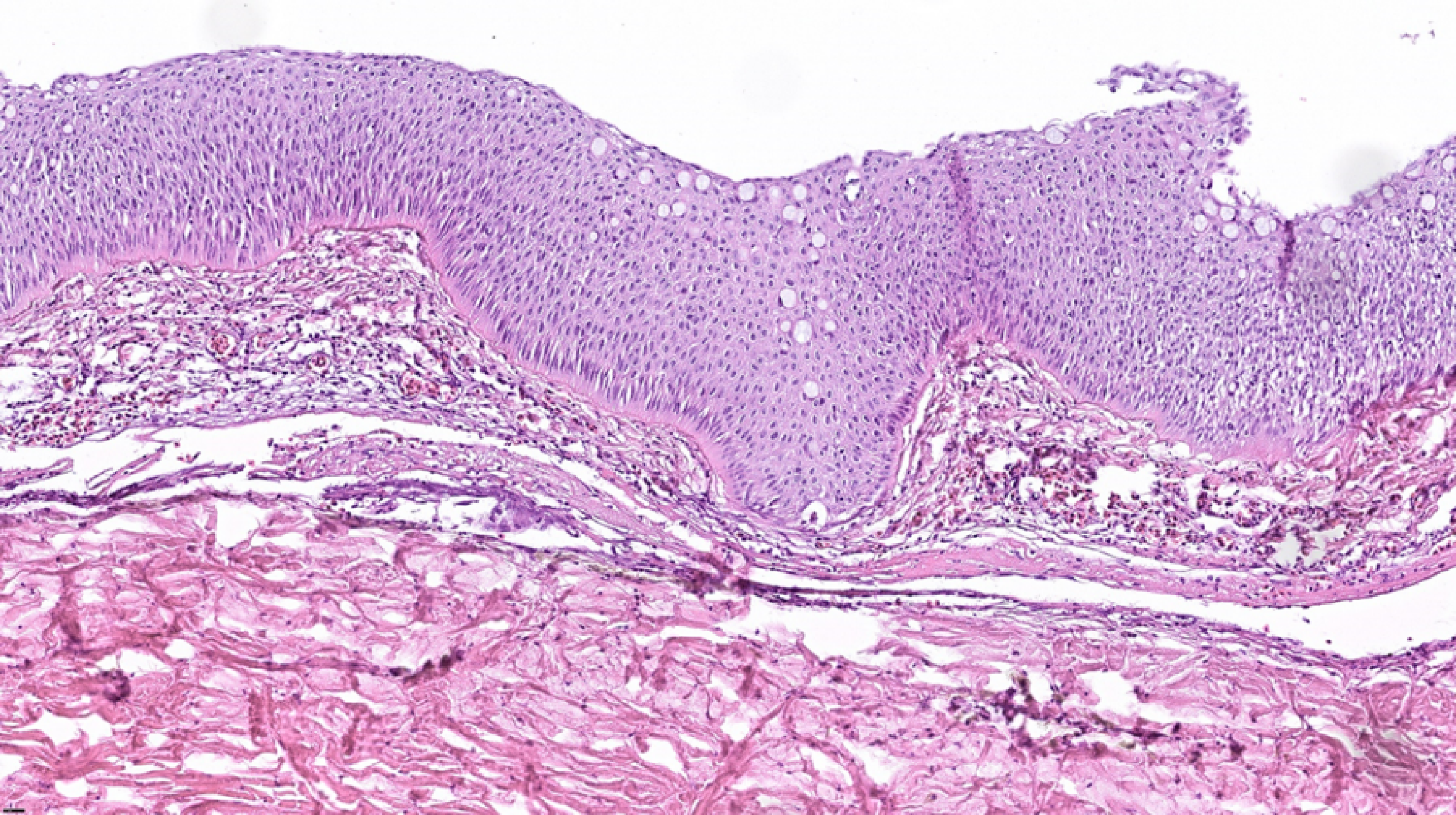
Videre karakteriseres patologiske forandringer ved mikroskopi av vevssnitt (histopatologi) da det gir ledetråder med hensyn til hva slags type sykdom en står overfor: Noen ganger er det svært karakteristiske funn ved spesielle sykdommer.

I helt nygått laks fra Enningsdalselva var hudskadene preget av tap av skjell og ytterste hudlaget (epidermis) sentralt, mens det i ytterkant var intakt epidermis underminert av blødning rett under – men ikke dypere (Figur 1). Senere i forløpet fant man mer omfattende sår infisert med sopphyfer og en betennelsesreaksjon, mest trolig en konsekvens av skadet hudbarriere.

Forekomst og utbredelse

Sommeren 2019 var det Enningdalselva i Halden kommune som skilte seg ut med sykdom og dødelighet hos villaksen. Det ble meldt om lignende hudlesjoner hos enkeltfisk (laks) i vassdrag over hele landet, bl. a. Sandvika, Bjerkreim og Tovdal, men uten så alvorlige problemer som i Enningdalselva, i hvert fall på nygått laks.

I 2019 ble det tatt 36 laks i Enningdalselva, mens det ble funnet 70 døde eller døende laks. Fangsten av laks i Enningdalselva varierer betydelig fra sesong til sesong. I tørkeåret 2018 ble det ikke tatt mer enn 23 laks, mens det i 2015 ble tatt 218. Vannstanden i elva i løpet av sommeren påvirker hvor mye laks som går opp.

Det er ikke kjent om fisk med «red skin disease» kan overleve og bli friske. Foreløpig ser det ikke ut til at problemet omfatter ferskvannslevende stadier av laks eller andre arter, for eksempel sjøørret.

Lignende hudforandringer på syk og død fisk ble også observert i Danmark, Skottland og Irland. Sverige har i mange år hatt problemer med forhøyet dødelighet i flere elver både i de som renner ut i Østersjøen og på vestkysten. På Kolahalvøya har det i flere sesonger vært veldig høy dødelighet på laks som var fanget inn for kultiveringsformål. Et mål for framtidig samarbeid er å finne fellesnevnere for disse problemene.

Differensialdiagnoser

Laks som kun har hudblødninger rundt gatt har trolig blodgatt (red vent syndrome), en tilstand som knyttes til parasitten kveis (Anisakis).

Tiltak

Selv om det ikke er fastslått at red skin disease kan knyttes til ett eller flere smittestoff er det anbefalt å holde en høy hygienisk standard (biosikkerhet) innen og mellom vassdrag.

  • Det er ikke lov å flytte fisk mellom vassdrag.
  • Desinfiser og tørk fiskeutstyr, vadere, håver og annet utstyr før flytting mellom vassdrag.
  • Ikke vask og sløy fisk andre steder enn der du fanget den.
  • Syk eller medtatt fisk skal ikke settes ut igjen i vassdraget.

Meld fra om syk fisk

Her kommer du til Veterinærinstituttets side om hva du kan gjøre dersom du finner syk eller død villfisk.

QR.jpg

 

 

Scan QR kode for å melde fra om syk fisk.