CMS er en smittsom sykdom

Denne saken er eldre enn to år

I doktorgradsarbeidet til Camilla Fritsvold ble det for første gang vist at Kardiomyopatisyndrom (CSM) er en smittsom sykdom som kan gi alvorlig hjertebetennelse hos atlantisk oppdrettslaks. Sykdommen er vanligst hos stor og slaktemoden laks, men er i de siste årene også påvist i mindre fisk tidlig i sjøfasen.

Fritsvold disputerte 20. januar 2022 for doktorgrad ved NMBU Parakliniske fag, med avhandlingen: "Studier av patogenese ved kardiomyopatisyndrom (CMS) hos atlantisk laks, Salmo salar L".  Hun utførte sitt doktorgradsarbeid ved seksjonen Forskning og akvatisk biosikkerhet ved Veterinærinstituttet. 

CMS i atlantisk oppdrettslaks er en infeksiøs virussykdom som forårsaker alvorlig betennelse i laksehjertets indre lag. Sykdommen er utbredt langs hele norskekysten og rammer vanligvis stor og nesten slakteferdig oppdrettslaks, og selv moderat økt dødelighet eller CMS-utbrudd gir derfor store økonomiske konsekvenser. Sammen med lakselus, anses en av de viktigste problemene for norsk oppdrettsnæring. CMS er et økende problem også for andre oppdrettsnasjoner som Storbritannia, Irland og Færøyene.

Etablerte nye modeller

-Målet var å etablere en modell for smitteforsøk for CMS, og bruke denne til å finne ut om CMS var en overførbar, smittsom sykdom. I tillegg ville vi følge, beskrive og sammenligne utviklingen av hjerteforandringene i smitteforsøk over lang tid, i et feltutbrudd av sykdommen, og ved hjelp av ulike metoder i materiale fra et smitteforsøk av kortere varighet. Det ble også undersøkt om blodprøver og slimprøver, som kan tas uten å avlive fisken, kan brukes til påvisning av PMCV, viruset som gir CMS, og sammenligne disse prøvenes resultater med standard CMS diagnostikk, forteller Fritsvold.

Den massive hjertebetennelsen ved velutviklet CMS, gjør forkammerveggen skjør, og stressende situasjoner, som lusebehandling eller sortering, kan utløse akutt død fordi forkammerveggen revner. Derav det mer folkelige navnet «hjertesprekk». Sammen med lakselus, anses CMS nå som en av de viktigste problemene for norsk oppdrettsnæring.

Fram til 2010-2011 var årsaken til sykdommen ukjent, med mange ulike hypoteser. Studien hos Camilla var tredelt. I den første presenterte hun og hennes kolleger resultatene fra det første vellykkete smitteforsøket som viser at CMS er en smittsom sykdom. De injiserte uvaksinerte post-smolt av Atlantisk laks med vevshomogenat laget av hjerte- og nyrevev fra stor oppdrettslaks med CMS. Forsøksfisken utviklet hjerteforandringer i tråd med tidligere beskrivelser av CMS i stor oppdrettslaks. Tross en svært lang observasjonsperiode på 42 uker, holdt både forekomsten og alvorlighetsgraden av hjerteforandringene seg jevnt høy, og det ble ikke sett tegn på tilheling av skadene.

I den neste studien ble en gruppe ung atlantisk laks på ca. 1 kg diagnostisert med typisk CMS uvanlig tidlig etter sjøsetting. Denne fiskegruppen ble fulgt med flere prøveuttak fram til utslakting nesten 10 måneder senere. Studien påviste en uvanlig høy mengde med virusets arvestoff i de smittede fiskene.

-CMS-syk laks ser ikke ut til å være i stand til å bekjempe PMCV-infeksjonen og kvitte seg med viruset, og hjertebetennelsen ser ikke ut til å bli mindre voldsom, helbredes eller bli reparert med tiden, sier Fritsvold.

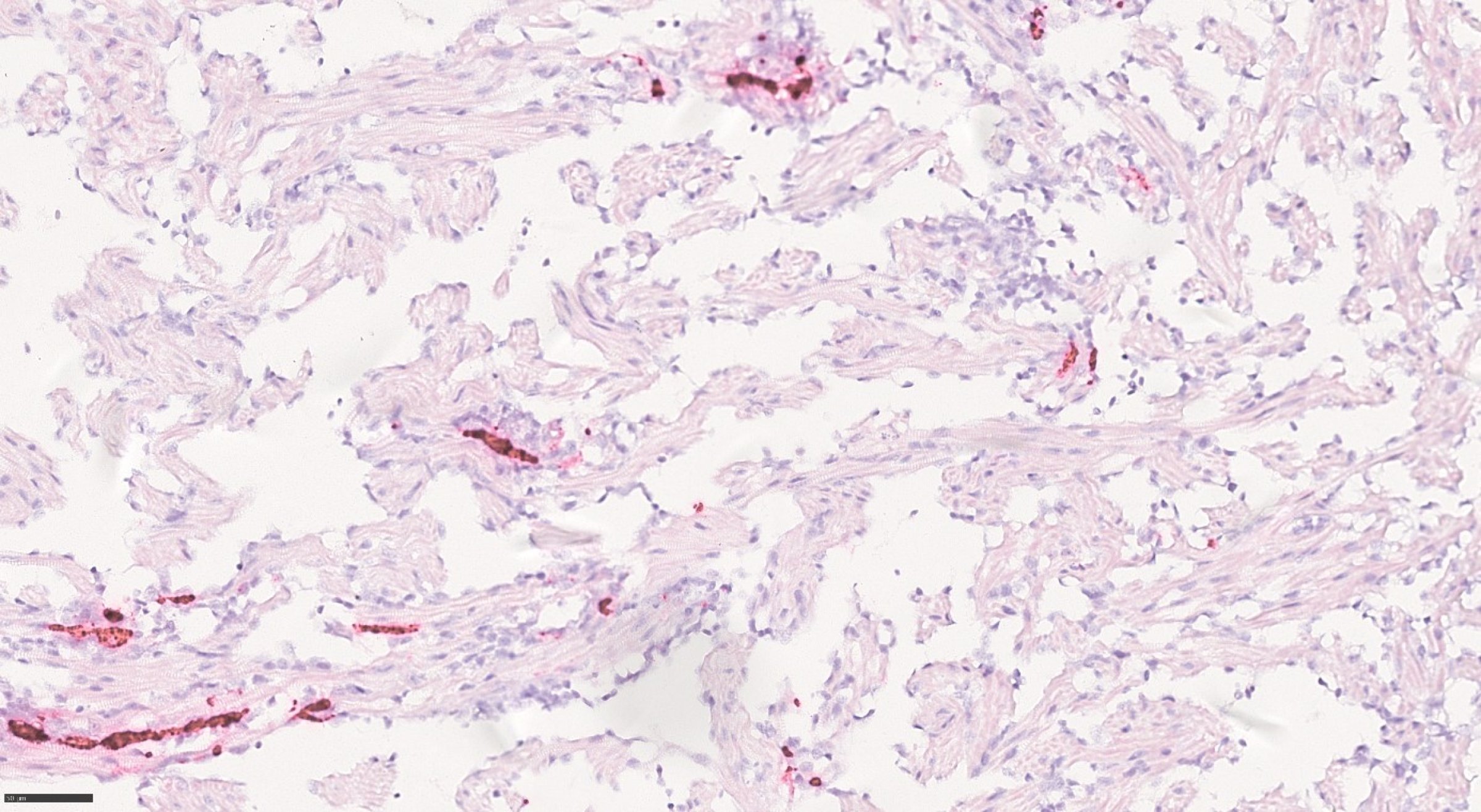
I den siste studien ble pre-smolt av atlantisk laks smittet med en injeksjon i bukhulen av vevsmateriale fra milt fra CMS-syk fisk. Histopatologiske og real time RT-PCR-undersøkelser av vevsprøver ble sammenlignet med resultater fra real time RT-PCR-undersøkelser av blodprøver og av slim fra fiskenes overflate, fra immunhistokjemi og fra en ny in situ-hybridiseringsmetode, RNAscope.

-Resultatene bekrefter tidligere funn og viser at ved prøvetaking av fisk med tydelige CMS-forandringer i hjertene, er hjertet selv det beste organet for påvisning av PMCV-spesifikt RNA.

Bidrar til bedre og sikrere diagnoser

Studien gir økt innsikt i patogenesen til CMS, dvs. hvilke faktorer som spiller sammen og fører til CMS i fisken, og hvordan sykdommen utvikler seg.

-I tillegg håper vi at dette kan bidra til bedre og sikrere CMS-diagnoser og sykdomsoppklaring, ved at det blir enklere å skille tidlige og utypiske tilfeller av CMS fra andre, liknende og viktige hjertesykdommer, sier Fritsvold avslutningsvis.