Ett virus bekymrer etter overvåkning av vill laksefisk

Denne saken er eldre enn to år

Det observeres lite virus i villaks som returnerer fra havet, mens viruset PRV-3 hos sjøørret bekymrer forskerne. Veterinærinstituttet og Havforskningsinstituttet gjennomfører helseovervåking hos vill laksefisk på oppdrag fra Mattilsynet. Det er nå publisert to nye rapporter fra dette overvåkningsprogrammet.

Oppformering og spredning av smittestoff i oppdrett kan ha betydning for villfisk. Smittestatus i laks som kommer inn fra beiteområdene i havet er derfor et viktig referansepunkt i vurderingen av smitteutveksling mellom villfisk og oppdrettsfisk.

Lite virus hos villaks i sjøfasen

Hos villaks i sjø ble det hverken funnet SAV eller ASCV. Forekomst av PRV-1 var på 1,3 %, som er svært lavt. PMCV ble kun påvist hos en laks, og denne var trolig satt ut fra et kultiveringsanlegg. Ingen av laksene var bærer av mer enn ett av virusene de ble undersøkt for. Dette skiller villaksen vesentlig fra laks i oppdrett der flere virus ofte er tilstede i samme fisk og komplisere patologien.

Skjellavlesning avdekte to rømte oppdrettslaks i materialet, og begge disse var bærere av PRV-1. En rømt regnbueørret inngikk også, denne var bærer av PRV-3.

PRV-3 hos sjøørret

I overvåkingen kom det inn kun 14 sjøørret fra sjølaksefiskerne. Likevel ga det mye informasjon om forekomsten av viruset PRV-3. De seks virus-positive sjøørretene fordelte seg over fire produksjonsområder (jamfør trafikklyssystemet) og ble påvist til tross for svært lavt antall testede i hvert av disse produksjonsområdene.

–Resultatet samsvarer med tidligere undersøkelser og gir grunn til bekymring. Vi vet foreløpig for lite om effekten av infeksjonen på sjøørret, men har observert at det er en sterk statistisk assosiasjon mellom lave nivåer av PRV-3 smitte og en mild betennelse i hjertehinnen (epikarditt) hos sjøørret. Dersom assosiasjonen skyldes et årsak-virkningsforhold, kan dette svært utbredte viruset gjøre sjøørreten mindre robust, men dette må vi fremskaffe mer kunnskap om, sier fagansvarlig for villfiskhelse ved Veterinærinstituttet Åse Helen Garseth.

PRV-1 hos pukkellaks

Veterinærinstituttet har tidligere informert om funn av PRV-1 hos pukkellaks i Finnmark. I tillegg til undersøkelsene hos laksefisk i sjø inngikk 60 pukkellaks fra Karpelv i Finnmark både i helseovervåkingsprogrammet for vill laksefisk og i Veterinærinstituttets forskning på nye sykdommer. Smittestoff assosiert med meldepliktige sykdommer (VHSV, IHNV, SAV, ILAV eller R. salmoninarum) ble ikke påvist. Derimot ble det funnet piscine orthoreovirus-1 (PRV-1) i hjertet til fire individer. I tillegg ble det påvist spor av Desmozoon Lepeophtherii i to individer. I studier fra Stillehavet er det tidligere vist at PRV-1 kan forekomme hos pukkellaks.

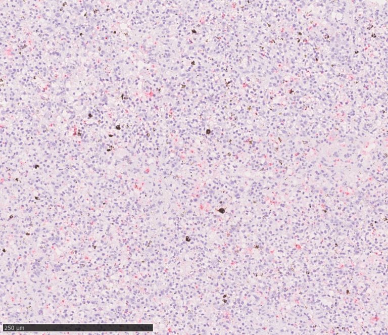
2019-70-1606-4 ISH PRV_Mona Gjessing.jpg
Bildet viser tilstedeværelse av viruset PRV-1 i milten til pukkellaks fra Karpelva Finnmark. Det er benyttet en fargemetode som spesifikt binder seg til virusets arvemateriale (In situ hybridisering). Foto: Mona Gjessing, Veterinærinstituttet.

Veterinærinstituttets rapport fra helseovervåking av vill laksefisk.

Havforskningsinstituttet fant svært lite virussmitte i utvandrende smolt og postsmolt selv om de samme virusene er vanlige i oppdrett

Havforskningsinstituttets rapport fra helseovervåking av vill laksefisk.

Havforskningsinstituttets nettmelding om rapporten.

Kontaktpersoner:

Veterinærinstituttet: fagansvarlig villfiskhelse Åse Helen Garseth,
ase-helen.garseth@vetinst.no, tlf: 48991095.

Havforskningsinstituttet: seniorforsker Abdullah Madhun,  abdullah.madhun@hi.no, tlf: 947 85 883.

Mattilsynet: seniorrådgiver Jonathan Vaz, Jonathan.Vaz@mattilsynet.no, tlf: 22778417.