Forskere ved Veterinærinstituttet har karakterisert virus som gir hjertebetennelse i regnbueørret

Denne saken er eldre enn to år

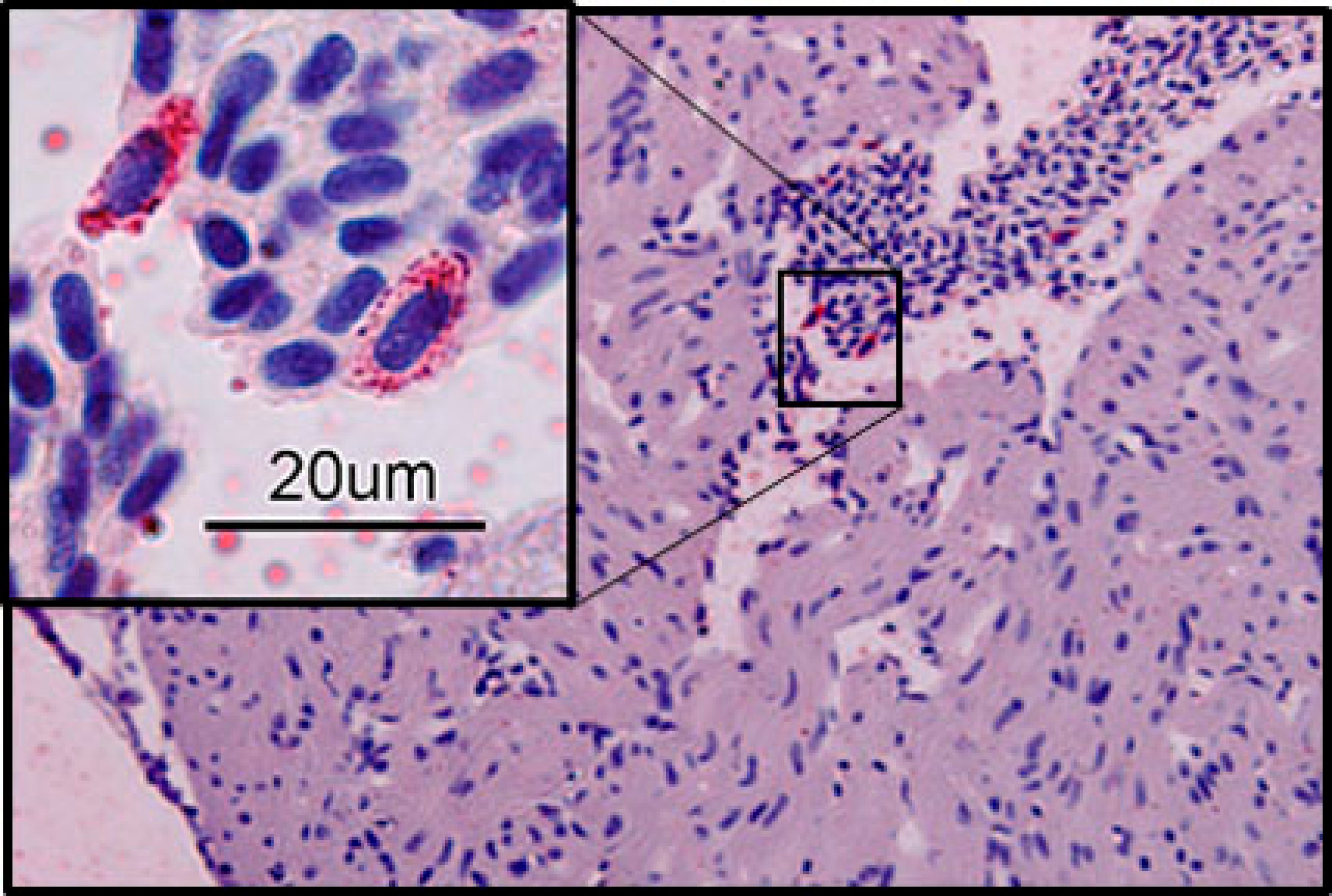
De første funnene av et virus assosiert med hjerte- og skjelettmuskelbetennelse (HSMB)-liknende sykdom i regnbueørret ble gjort for et par år siden. Nå er de første eksperimentelle smitteforsøkene med dette viruset publisert i PLoS ONE, og de viser at viruset kan smitte både regnbueørret og laks, men foretrekker regnbueørret.

Viruset er en nær slektning av Piscine orthoreovirus (PRV) som gir HSMB i laks. Både regnbueørret og Atlantisk laks ble eksperimentelt smittet med PRV-varianten, og forsøkene viste at viruset infiserer blodceller og hjerte på samme måte som lakse-PRV, og at det kan smitte begge arter.

Men dette viruset foretrekker regnbueørret som vert, noe som viser seg ved at man får flere kopier av viruset i regnbueørret enn i laks, at smitten sprer seg raskere mellom regnbueørret enn mellom laks, og at det hovedsakelig er regnbueørreten som reagerer immunologisk på smitten og får betennelse i hjertet. Ut fra dette kan man konkludere at det finnes et HSMB-virus som er spesifikt for regnbueørret, men man vet fremdeles lite om virusets utbredelse og betydning.

Dette arbeidet er utført i tett samarbeid med Danmarks Tekniske Universitet.

Resultater fra studiet er publisert i PLoS ONE