Ny kunnskap om virusinfeksjoner i vill laksefisk

Denne saken er eldre enn to år

Helseovervåking av vill laksefisk viser at gjelle-poxvirus er utbredt hos vill kjønnsmoden laks. Videre ble piscine orthoreovirus (PRV), men ikke salmonid alfavirus (SAV), påvist hos utvandrende laksesmolten fra Osterfjordbassenget.

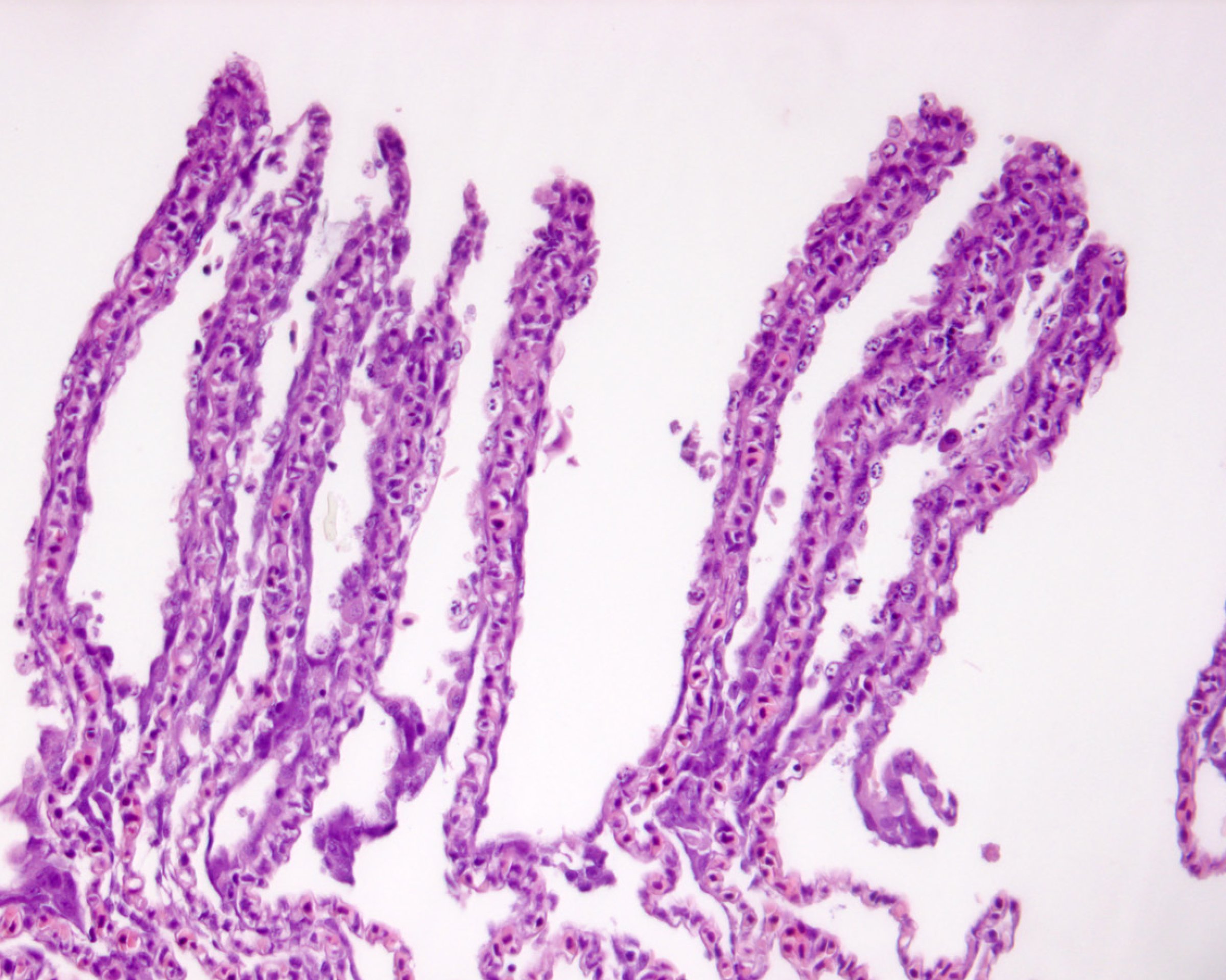
Veterinærinstituttet har kartlagt «salmon gill poxvirus» (SGPV, gjellepox) i kjønnsmoden fisk. Viruset som gir sykdom hos laks i oppdrett, ble påvist hos vill laks i 25 av 26 undersøkte elver. Dette er en høyere forekomst enn det som tidligere er vist for andre undersøkte virus i tilsvarende materiale. Hos villaksen ble det også funnet gjelleskader som er typiske for denne virussykdommen. Lave nivåer av gjellepox ble funnet hos et begrenset antall stamfisk av sjøørret, men kun etter opphold i kar sammen med smittet kjønnsmoden laks. Dette kan tyde på at sjøørret ikke er en naturlig vert for viruset. Gjellepox ble ikke påvist hos laksefisk som kun lever i ferskvann. Forekomst av SGPV hos ungfisk av laks i anadrome strekninger av elvene er ikke undersøkt. Viruset er dermed foreløpig kun funnet hos laks som har oppholdt seg i det marine miljø. Betydningen av smitteutveksling mellom villfisk og oppdrettsfisk bør undersøkes nærmere. Det kan tenkes at bruk av vann fra lakseførende ferskvannskilder kan utgjøre en smitterisiko for oppdrettsanlegg. Effektiv desinfeksjon av inntaksvannet i slike anlegg er derfor viktig. Som for andre virus vil SGPV kunne oppformere seg i laks i både sjø- og ferskvannsbaserte oppdrettsanlegg, med mulighet for spredning tilbake til miljø og villfisk.

SAV er ikke påvist, men PRV forekom i 5% av utvandrende smolt

Havforskningsinstituttet har testet for SAV og PRV i utvandrende smolt fra Osterfjordområdet innsamlet ved Herdla i 2013-2014. Disse virusene kan forårsake sykdommene pankreassykdom

(PD) og Hjerte- og skjelettmuskelbetennelse (HSMB) hos oppdrettslaks. SAV ble ikke påvist i smolten. Derimot ble PRV-infeksjoner påvist i 5% av fisken. PRV-prevalensen var høyere i 2013-smolt (7%) sammenlignet med smolt fanget i 2014 (2%). I 2013 hadde vill smolt en betydelig høyere (14%) PRV-prevalens enn utsatt smolt (1%). Det var imidlertid ingen forskjell i PRV-prevalens mellom vill og utsatt smolt i 2014 (2 %). Estimeringer av utvandringstid av kultivert fisk i dette fjordsystemet kan tyde på at få fisk vil kunne utvikle påviselige SAV- og PRV-infeksjoner før de blir tatt i smoltfellen. Dette kan derfor indikere at vill smolt med PRV blir smittet i elvene før den vandrer ut i sjøvann.

Les rapporten: Annual report on health monitoring of wild anadromous salmonids in Norway

Tidligere rapporter:
Rapport 2015
Rapport 2014
Rapport 2013
Rapport 2012
 

Kontaktpersoner:

Mattilsynet: Jonathan Vaz Serrano, rådgiver, seksjon fiskehelse og fiskevelferd, Jonathan.Vaz@mattilsynet.no, tlf: 22 77 84 17

Havforskningsinstituttet: Abdullah Madhun, seniorforsker, abdullah.madhun@imr.no, tlf.: 947 85 883

Veterinærinstituttet: Forsker Åse Helen Garseth