Ny oversiktsartikkel om rensefisk, rensefisksykdommer og vaksiner

Denne saken er eldre enn to år

Kunnskap om rensefisk og rensefiskenes sykdommer er sentralt for alle som arbeider med bruk av rensefisk i akvakultur. En ny oversiktsartikkel skal gjøre det enklere å kunne forebygge, forhindre og håndtere utbrudd av smittsomme sykdommer.

Toni Erkinharju ved Veterinærinstituttet er an av hovedforfatterne bak artikkelen «Cleaner fish in aquaculture: Review on diseases and vaccination». Denne er nå publisert i tidsskriftet Reviews in Aquaculture. Hensikten med artikkelen er å oppsummere resultater og funn fra faglitteraturen og tidligere publiserte arbeid.

-Artikkelen gir en oversikt over kjente infeksjonssykdommer og andre typer sykdommer hos rensefisk (rognkjeks og ulike arter av leppefisk) og hvorvidt disse kan smitte over fra syk rensefisk til laks i samme anlegg. I tillegg er det en mindre oversikt over tilgjengelige vaksiner til bruk på rensefisk, sier Toni Erkinharju.

2w9x1jCE.jpeg.jpg
Toni Erkinharju tar blodprøver av rognkjeks. Foto: Toni Erkinharju.

Problematikken med lakselus, hva rensefisk er og hvordan og hvorfor de brukes i akvakultur som lusespisere er et tema i introduksjonsdelen. Her presenteres også stoff fra litteraturen vedrørende grunnleggende biologi hos rognkjeks og leppefisk, i tillegg til artsforskjeller som kan ha betydning for bruken av dem som rensefisker. Hoveddelen angår rensefisksykdommene.

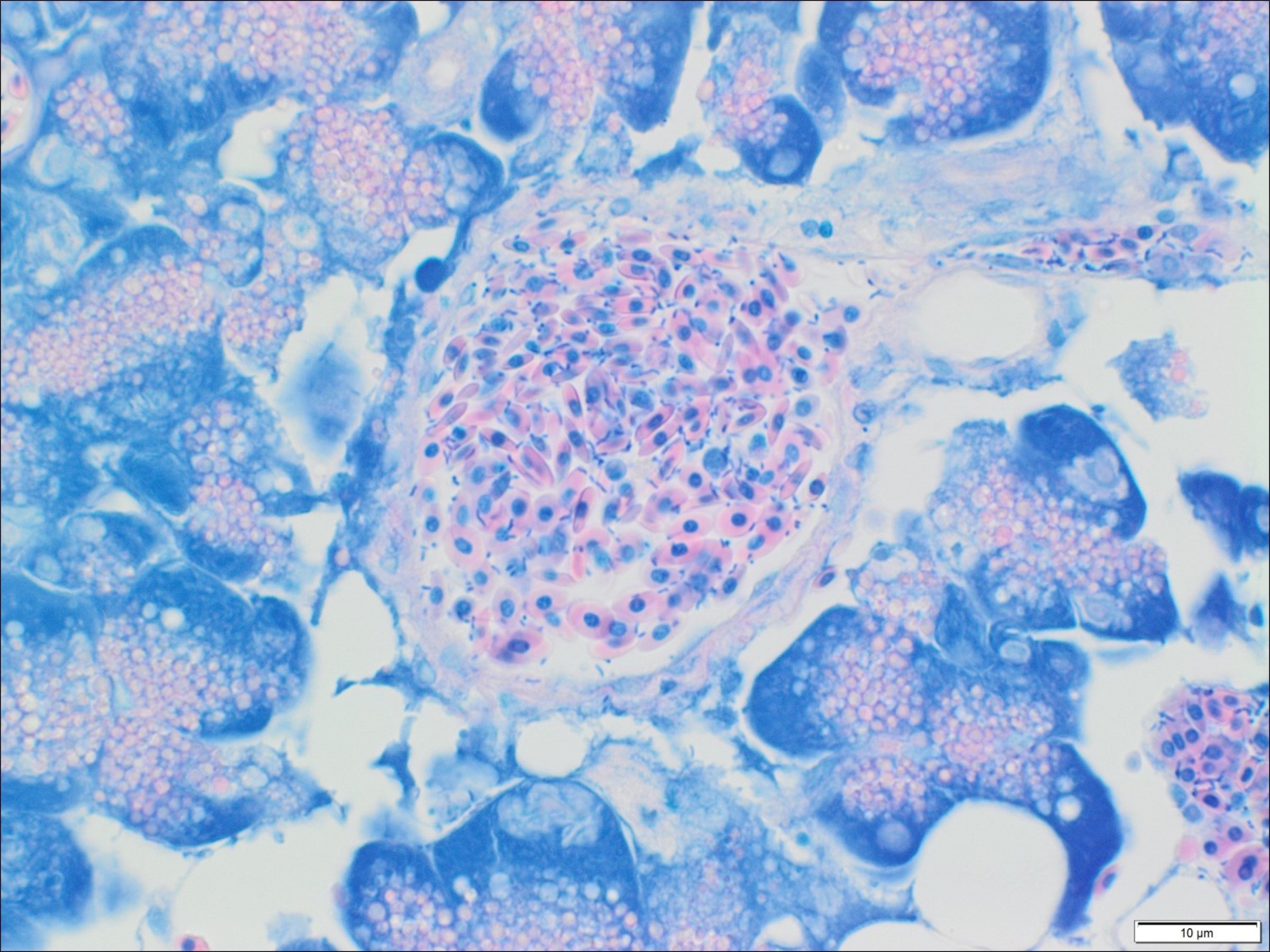
-Her gir vi først en oversikt over kjente og beskrevne infeksjonssykdommer (bakterier, sopp, parasitter og virus) og andre typer sykdommer hos rognkjeks og leppefisk, med beskrivelser av sykdomsfremkallende agens, patologi, diagnostikk med mer. Denne delen er også rikelig illustrert med bildefigurer av histologisnitt fra tidligere arkiverte rensefisksaker hos Veterinærinstituttet, produsert ved vår seksjon i Harstad. I den andre delen gis en oversikt og vurdering over hvorvidt de ulike infeksjonssykdommene kan potensielt smitteoverføres fra syk rensefisk til laks som holdes på samme anlegg i sjø, sier Erkinharju.

Avslutningsvis gir artikkelen en liten oversikt og beskriver kort arbeid som hittil er gjort for å utvikle effektive vaksiner til bruk for rensefisk, som per i dag bare gjelder for noen av de tidligere beskrevne bakteriesykdommene.

Å forebygge smittsomme sykdommer og forbedre rensefiskens velferd

-Kunnskap om rensefisk og rensefiskenes sykdommer er sentralt for alle som arbeider med bruk av rensefisk i akvakultur, særlig for å kunne forebygge, forhindre og håndtere utbrudd av smittsomme sykdommer hos rensefisken. Dette er også viktig for å forbedre rensefiskens helse og velferd, for eksempel ved at slik kunnskap kan lede til utvikling av mer effektive og anvendbare vaksiner og vaksineringsprosedyrer som gir fisken økt beskyttelse mot alvorlig smittsom sykdom. I tillegg er det også viktig for å kunne forhindre at laks som holdes på samme lokalitet som syk rensefisk selv blir syk, dersom sykdommen kan overføres fra syk rensefisk til laks, understreker Erkinharju.

Det er fire forfattere bak artikkelen, Toni Erkinharju og Miroslava Hansen ved Veterinærinstituttet Harstad, samt Erkinharjus to doktorgradsveiledere ved Universitetet i Tromsø, Tore Seternes og Roy A. Dalmo.

Les hele artikkelen

Cleaner fish in aquaculture: review on diseases and vaccination