Problemer med perlesnormaneter i oppdrett

Denne saken er eldre enn to år

Det har i den siste tiden vært observert en del perlesnormaneter i og rundt oppdrettsanlegg i området Sør-Troms og Nordre-Nordland, samtidig som det er observert unormal adferd hos fisk.

Perlesnormaneter (Apolemia uvaria) tilhører gruppen zoo-plankton. Det er en kolonimanet som kan bli opptil 30 meter lang og opptrer både i overflatevann og på større dyp (dypere enn 100 meter). Manetens nesletråder inneholder en sterk gift som kan forårsake dødelighet på fisk i oppdrett.

Oppdrettere i området har observert perlesnormaneter i og rundt anlegg og samtidig observert unormal adferd hos fisken. Adferden er blant annet nedsatt appetitt, vridningsbevegelser, fisk som står loddrett i vannsøylen samt økt andel av såkalte svimere. Fisk har også vist tegn til respirasjonsproblemer og affisert fisk har hatt hvite svimerker på hud og gjellelokk, og i noen tilfeller et blåaktig utseende på gjellelokk. Det er meldt om øyeskader ved manetangrep, forklarer seksjonsleder for fiskediagnostikk ved Veterinærinstituttet, Geir Bornø.

gjelleblødninger.jpg
Eksempel på gjelleblødninger ofte assosiert med manetskader. Foto: Geir Bornø, Veterinærinstituttet

- Fisken kan også få sårproblemer, som trolig skyldes sekundærinfeksjoner i svi/hudskader. Ved histologisk undersøkelse ses det gjerne blødninger på gjeller og subepiteliale ødemer/nekroser av celler på gjeller. Skader som trolig er relatert til neslegift som maneten skiller ut, sier Bornø.

Ofte brytes maneten ned til mindre fragmenter når de treffer merden, men har likevel potensiale til å skille ut neslegift. Dødeligheten ved affiserte lokaliteter er varierende, noen tilfeller har vist relativt høy dødelighet relatert til perlsnormaneter, mens andre tilfeller melder om lite dødelighet. Fisk som ikke dør ser ut til å kunne restituere og fungere normalt.

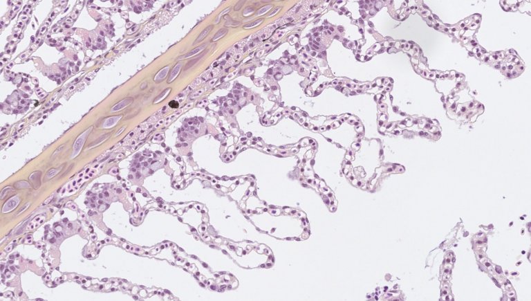
skade i gjeller.jpg
Skader i gjeller - Subepiteliale ødemer og nekrose av gjeller/celler. Foto: Geir Bornø, Veterinærinstituttet

Sekreteriat for regional beredskap ved massedød av fisk ved KUPA Harstad har bistått i arbeidet mot perlesnormaneter i oppdrettsanleggene, i tillegg har innspill fra oppdrettere og fiskehelsetjenesten i området vært behjelpelige i arbeidet.