Slektning av HSMB-viruset gir hjertebetennelse i regnbueørret

Denne saken er eldre enn to år

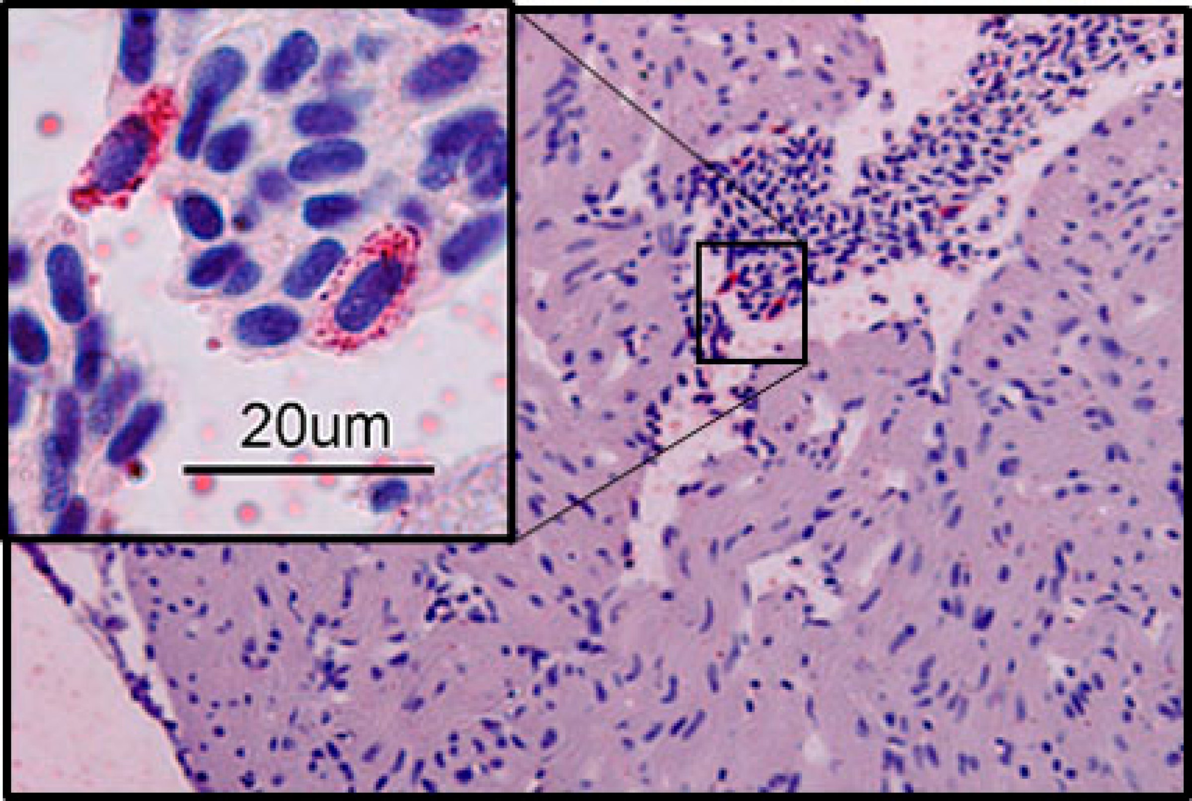
Hjerte- og skjelettmuskelbetennelse (HSMB) hos laks, som forårsakes av viruset Piscine orthoreovirus (PRV), er tema i Veterinærinstituttets månedlige artikkel i Norsk Fiskeoppdrett i september.

Hjerte- og skjelettmuskelbetennelse (HSMB) hos laks er et utbredt problem i norsk oppdrettsnæring. Sykdommen skyldes viruset Piscine orthoreovirus (PRV). I 2014 ble en slektning av viruset funnet i forbindelse med et HSMB-liknende sykdomsutbrudd hos regnbueørret i settefiskanlegg. Nå er det nye viruset og sykdommen studert mer inngående og det er blant annet vist at viruset er årsaken til hjertebetennelse i regnbueørret og at det også kan smitte laks, men mindre effektivt og alvorlig.

Les hele artikkelen (pdf)